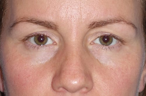
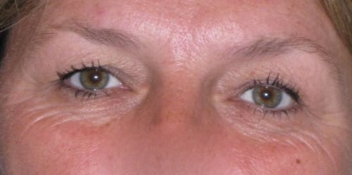
Rejuvenate your eyes by removing excess skin and fat with upper blepharoplasty.
Dr. Ahn's Upper Eyelid Surgery Technique
Dr. Ahn has developed an advanced, effective technique for his upper blepharoplasty procedure:
- Marking the patient in a seated, upright position before surgery instead of lying down. When the patient lies down, the anatomy is distorted, and accurate markings cannot be made.
- Marking the incision to be within the existing natural eyelid crease. The natural crease location is measured by Dr. Ahn using calipers on a millimeter scale and is usually 8-12 mm above the eyelashes. An incision in the crease typically means it heals to the point that it is nearly impossible to see.
- Measuring with calipers the EXACT amount of extra eyelid skin. This is marked to be removed and is done separately, between the two eyelids, because they will be different. There is often more extra skin on one eye compared to the other.
Dr. Ahn developed these simple guidelines over the past two decades to ensure that the right amount of skin will be removed, the crease and incision will be in a natural, low position, and the patient will not look "surprised."













